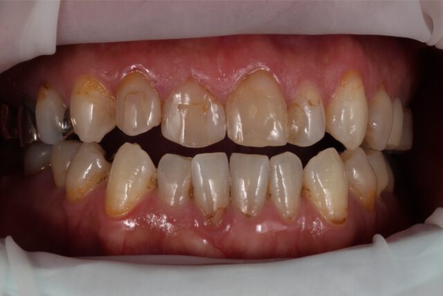
矯正なしで開咬を改善したケース
| 症状 | 元々開口傾向があり、前歯での咬合が十分に機能していない状態でした。 その後の治療を経て、前歯での咬合が困難となったため、機能改善を目的に治療へ |
|---|---|
| 治療法 | 右上4〜左上4(計8本)ダイレクトボンディング |
| 費用 | 約70万 |
| 通院回数 | 合計4回(週1程度) |
| 備考 | 費用面及び残存歯質の温存を考慮し、矯正治療や補綴処置ではなく、ダイレクトボンディングによる対応を選択した。 |
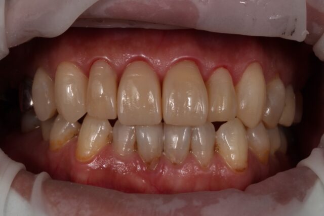
口腔内全体の治療
| 症状 | 他院でインプラントはできないと言われたので、インプラントして欲しい 歯並びも悪いので何とかならないか |
|---|---|
| 治療法 | 左上1インプラント治療 右上1審美補綴治療 矯正治療 |
| 費用 | 全体約106万円 |
| 通院回数 | 2年半 1,2回/月 |
| 備考 | 全体で問題が起こり機能が失われた状態をトータルでマネジメントし元あった理想に近い形に戻すことを行なっているが、これにはかなりの時間と費用がかかり、大変な治療に耐えていただく必要がある。 また全ては修復物や補綴物やインプラントで見た目と噛む機能を整えているに過ぎず、実際には歯が再生したわけではない。強度の落ちている歯をよく噛める形に整えるという事は、歯が壊れる可能性も同時に上げることになる。つまり施した治療が必ずしも一生保つという事ではない。 よって可能な限りこの状態を長く保つことが出来るよう、治療後は定期的なメンテナンスと、ナイトガード(寝ている間の歯軋りや食いしばりなどの自身でコントロールできない過剰な力から歯を守るマウスピース)の装着が必須となる。 |
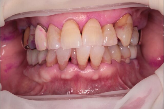
歯並びの治療
| 症状 | 歯が前に出てきている気がして気になる。 |
|---|---|
| 治療法 | 上下矯正治療 |
| 費用 | 約65万(税別) |
| 通院回数 | 約1年半(月1回) |
| 備考 | 叢生と八重歯を気にされ、矯正治療を希望されました。治療により歯並びが整い、清掃性と噛み合わせの両面で良好な結果が得られました。 |
根管治療
| 症状 | 歯茎にニキビみたいな物がある。 CTを撮ると大きい根尖病変があり、このままだと前の歯にも影響が出てくると思われる。 |
|---|---|
| 治療法 | 被せ物、土台を外しマイクロスコープを活用した根管治療 |
| 費用 | 被せ物まで含め〜22万円(税別) |
| 通院回数 | 状況に応じ異なりますが、このケースの場合は3回の根管治療、3回の被せ物治療で合計6回かかりました。 |
| 備考 | 一番奥の歯の根の先にできた根尖病変が、手前の歯の根にまで達し、治療が遅れると手前の歯まで巻き込んで共に抜歯となる可能性もありましたが、マイクロスコープを活用した根の治療により根尖病変は消失しました。 根の治療をいくらしっかりとやっても、治療後の蓋の役割をする、被せ物や詰め物がしっかりと精密な物になっていないとそこからまた菌の侵入を許し、再発へとつながってしまいます。 保険治療の被せ物ではそのクオリティを高く維持することは困難であるため、マイクロスコープを用いた精密な根管治療を行なった場合、被せ物や詰め物は精密なクオリティを維持できる自費治療でさせていただかないと治療の長期的な維持ができません。精密根管治療を選択いただいた場合、被せ物は自費治療でさせていただきます。 全ての治療において言えることですが、その歯の状況に合わせ歯が最大限長持ちするよう全力を尽くして治療しますが、一生保つことを確証するものではありません。 マイクロスコープを用いた精密な根管治療の成功率は、保険水準のものに比べ高くなりますが、100%の治癒を約束したものではありません。世界中の論文データをもとにした成功率は以下の通りです。 ①現在まで治療未着手の根管で、根の先に病変のないもの。:約90%(保険水準では50%以下) ②現在まで治療未着手の根管で、根の先に病変があるもの。:約80%(保険水準では30%以下) ③すでに治療介入がされており、根の先に病変があるもの。:40%〜70%(歯の状況により異なる) 成功とは、症状が治まり、根の先の病変が存在しなかった場合は発生させず、存在した場合は治癒あるいは進行が止まることを指します。(病変は早いもので約3ヶ月で治癒しますが、最大約20年かけ治癒した報告もあり、病変の残存を一概に成功していないと言うことは難しいためです) |
MTA断髄(直接覆髄)・ダイレクトボンディング
| 症状 | 右上に大きな穴が開いている。痛みはないが、もし神経覗くようなら残して欲しい。 |
|---|---|
| 治療法 | 齲蝕を除去すると、神経が露出したため、断髄した後MTAセメントにて封鎖し神経を温存しました。 その後、ダイレクトボンディングにて元あった歯の形と同じように修復しました。 |
| 費用 | MTA断髄処置のみで2万5千円。 ダイレクトボンディング処置のみで9万円。 |
| 通院回数 | 1回 (1本で2時間半程度) |
| 備考 | ダイレクトボンディングは、基本的に1回の治療で終了となるが、処置時間が2時間ほどかかるため、長く口が開けられない場合は2回にわける場合もある。費用は治療箇所、範囲、歯並びの条件などにより異なる。 |











