インプラント治療審美補綴治療
口腔内全体の治療
症例情報
| 症状 | 口腔内全体を治療してほしい |
|---|---|
| 治療法 | 右上6.4.2左上1,5,6両顎下5,6 インプラント治療(補助手術あり) 左上3,7右下4 審美補綴治療 |
| 費用 | 全体約700万円 |
| 通院回数 | 4年半 1,2回/月 |
| 備考 | 全体で問題が起こり機能が失われた状態をトータルでマネジメントし、理想に近い形に戻すことを行なっているが、これにはかなりの時間と費用がかかり、大変な治療に耐えていただく必要がある。 また、比較的長持ちするインプラントでも、歯周炎等になることもあるので定期的なメンテナンスが必須になる。 |
治療詳細

上 before

上 after

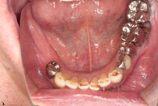
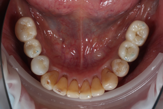
下 before

下 after

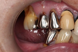
右側 before

右側 after

左側 before

左側 after



