口腔内全体の治療
症例情報
| 症状 | 口腔内全体の治療を希望されて来院 |
|---|---|
| 治療法 | 両側下顎4.5.6インプラント 天然歯17本補綴 矯正治療 |
| 費用 | 合計約600万円 |
| 通院回数 | 期間約1年半、通院30回程度 |
| 備考 | 全体で問題が起こり機能が失われた状態をトータルでマネジメントし元あった理想に近い形に戻すことを行なっているが、これにはかなりの時間と費用がかかり、大変な治療に耐えていただく必要がある。 また全ては修復物や補綴物やインプラントで見た目と噛む機能を整えているに過ぎず、実際には歯が再生したわけではない。強度の落ちている歯をよく噛める形に整えるという事は、歯が壊れる可能性も同時に上げることになる。つまり施した治療が必ずしも一生保つという事ではない。 よって可能な限りこの状態を長く保つことが出来るよう、治療後は定期的なメンテナンスと、ナイトガード(寝ている間の歯軋りや食いしばりなどの自身でコントロールできない過剰な力から歯を守るマウスピース)の装着が必須となる。 |
治療詳細

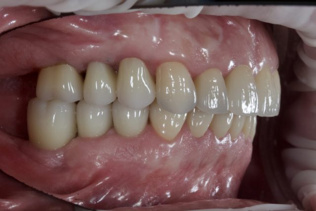
BEFORE

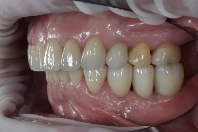
AFTER

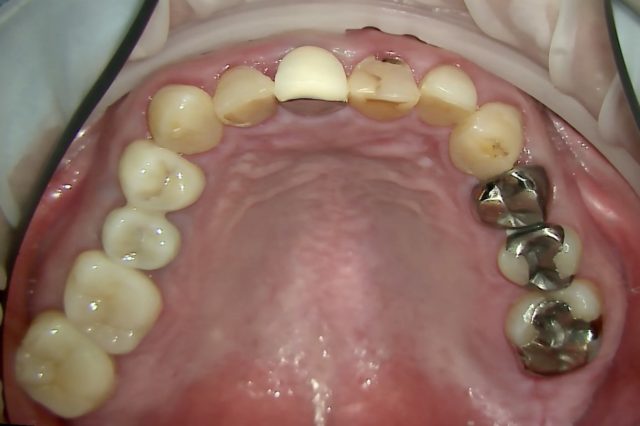
BEFORE

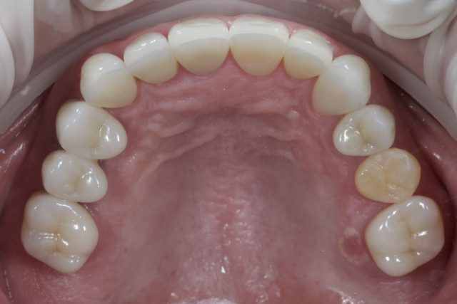
AFTER

BEFORE

AFTER



