インプラント治療審美補綴治療矯正治療
口腔内全体の治療
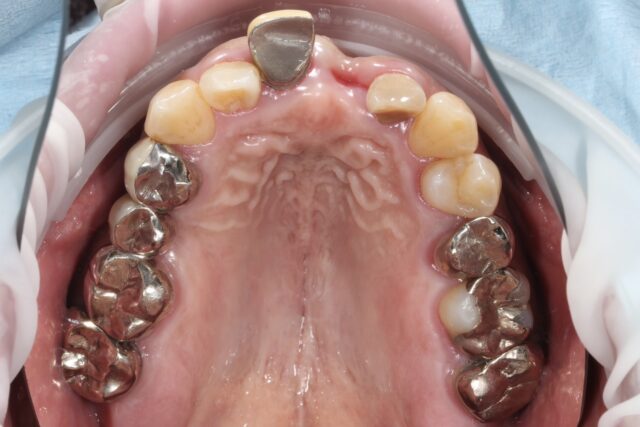
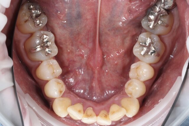
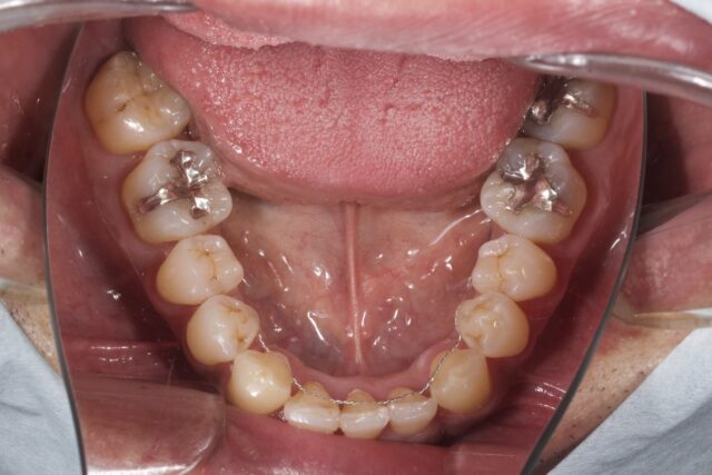
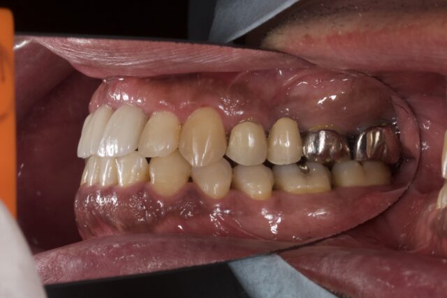
症例情報
| 症状 | 他院でインプラントはできないと言われたので、インプラントして欲しい 歯並びも悪いので何とかならないか |
|---|---|
| 治療法 | 左上1インプラント治療 右上1審美補綴治療 矯正治療 |
| 費用 | 全体約106万円 |
| 通院回数 | 2年半 1,2回/月 |
| 備考 | 全体で問題が起こり機能が失われた状態をトータルでマネジメントし元あった理想に近い形に戻すことを行なっているが、これにはかなりの時間と費用がかかり、大変な治療に耐えていただく必要がある。 また全ては修復物や補綴物やインプラントで見た目と噛む機能を整えているに過ぎず、実際には歯が再生したわけではない。強度の落ちている歯をよく噛める形に整えるという事は、歯が壊れる可能性も同時に上げることになる。つまり施した治療が必ずしも一生保つという事ではない。 よって可能な限りこの状態を長く保つことが出来るよう、治療後は定期的なメンテナンスと、ナイトガード(寝ている間の歯軋りや食いしばりなどの自身でコントロールできない過剰な力から歯を守るマウスピース)の装着が必須となる。 |
治療詳細

before

after

before

after

before

after

before

after

before

after



