インプラント治療
入れ歯では食事ができない方のインプラント治療
症例情報
| 症状 | 入れ歯では食事ができず、噛めるようにしたい。インプラントで全顎的に治療して欲しい、とのご希望でした。 全体に歯周病の状態が悪く、歯周基本治療からスタートして菌のコントロールがなされてから本格的にインプラント治療となりました。 |
|---|---|
| 治療法 | 歯周病治療、インプラント治療 |
| 費用 | 400万円 |
| 通院回数 | 1年半 |
| 備考 | 比較的長持ちはしやすい治療であるインプラントですが、医療に100%はありません。長持ちのためにはインプラント周囲炎の予防、力のコントロール、故障の有無のチェックのため定期的なメンテナンスを欠かさず行う必要があります。 |
治療詳細

お口の上部、BEFORE写真です。

お口の上部、AFTER写真です。

お口の下部、BEFORE写真です。

お口の下部、AFTER写真です。

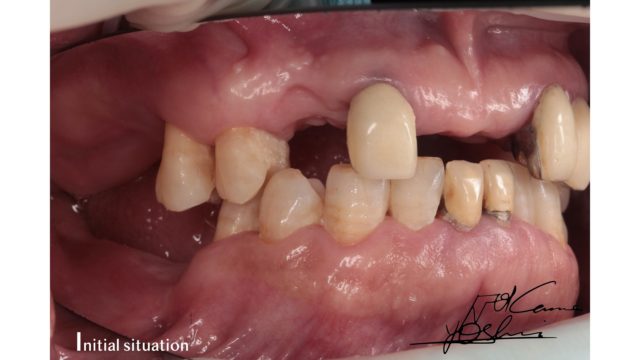
お口の左側、BEFORE写真です。

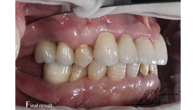
お口の左側、AFTER写真です。

お口の右側、BEFORE写真です。

お口の右側、AFTER写真です。

CTパノラマ画像(BEFORE)です。

CTパノラマ画像(AFTER)です。
当院からのコメント
快適に食事ができるようになり、入れ歯の不快感から解放されたと喜びのお声を頂きました。見た目も改善されています。



